Câu chuyện về hành trình sửa chữa “cửa sổ tâm hồn” của người phụ nữ

Người bệnh cùng ThS.BS Tạ Văn Hải và BS Phạm Nguyễn Quang Long trước khi ra viện

Người ta thường nói: “đôi mắt là cửa sổ tâm hồn”, “Giàu 2 con mắt, khó 2 bàn tay”. Vâng nếu mắt chúng ta có vấn đề về sức khỏe, rơi vào cảnh nhìn đôi, một bên mắt không thể liếc được xuống phía dưới, đi lại khó khăn, không gắp được đồ ăn vì nhìn món này nhưng lại lấy phải món khác… thì sẽ ảnh hưởng rất nhiều đến sức khỏe, tâm lý, sinh hoạt và công việc hàng ngày. Câu chuyện của người bệnh tại Trung tâm Đột quỵ – Bệnh viện Đa khoa tỉnh Phú Thọ qua lời kể của ThS.BS Tạ Văn Hải dưới đây là một dẫn chứng.

Nửa tháng trước, tại một buổi trực cuối tuần ở Trung tâm Đột quỵ – Bệnh viện Đa khoa tỉnh Phú Thọ, trong lúc tiếp đón người bệnh vào viện, chúng tôi gặp một người phụ nữ 39 tuổi đưa mẹ vào viện. Trong lúc làm thủ tục cho người bệnh nhập viện, tôi quan sát thấy chị đeo miếng dán một bên mắt nên nghĩ rằng chị mới được phẫu thuật hoặc làm thẩm mỹ mắt. Tuy nhiên, sau khi trò chuyện thì nhận được câu trả lời: “em bị liệt dây thần kinh số IV hơn 1 tháng nay, nếu để 2 mắt bình thường em không đi lại được nên phải bịt một mắt lại cho dễ nhìn”. Là một bác sĩ thần kinh – đột quỵ nên cái sự “ngứa nghề” lại nổi lên. Tôi quay ra hỏi chuyện thì được biết chị đã trải qua hành trình “sửa chữa cửa sổ tâm hồn” vô cùng gian nan nhưng chưa có kết quả, nên đã quyết định trực tiếp thăm khám và tư vấn cho chị nhập viện điều trị.

Người bệnh phải che một bên mắt
Người bệnh phải che một bên mắt

Người bệnh cho biết, trước khi đến Bệnh viện Đa khoa tỉnh Phú Thọ 1 tháng, người bệnh đột ngột cảm thấy chói mắt phải, đau đầu, chóng mặt, tê bàn tay phải kèm theo xuất hiện nhìn đôi khi ngủ dậy. Điều đặc biệt, nhìn đôi đứng dọc, mắt phải không thể liếc được xuống dưới khiến người bệnh đi lại khó khăn, không dám lái xe, không gắp được đồ ăn vì bị cảnh nhìn món này nhưng lại gắp phải món khác, vì vậy không thể đi làm được. Khi che mắt phải vào thì mắt trái nhìn bình thường, che mắt trái thì mắt phải chỉ nhìn được lên trên rất khó liếc xuống dưới nên rất khó đi lại đặc biệt xuống cầu thang. Để thích nghi với tình trạng trên người bệnh đã mua miếng dán mắt dán mắt phải vào và chỉ nhìn một mắt.

Người bệnh đi khám tại một bệnh viện ở Hà Nội, được chẩn đoán liệt dây thần kinh IV, có tư vấn nhập viện nhưng người bệnh không nhập viện mà xin đơn thuốc về nhà và tự đi châm cứu. Tuy nhiên, sau 3 tuần tình trạng không cải thiện nên người bệnh đã tạm dừng châm cứu. Và khi đưa mẹ đến nhập viện tại Trung tâm Đột quỵ, Bệnh viện Đa khoa tỉnh Phú Thọ, người bệnh đã được bác sĩ tư vấn và quyết định điều trị tại đây.

Người bệnh được ghi nhận bị liệt dây thần kinh số IV bên phải, nhãn cầu phải bị kéo lên trên vào trong không đưa xuống dưới được, nhìn đôi rõ khi khám vận động nhãn cầu 2 mắt về các phía, kèm theo ghi nhận hiện tượng rung giật nhãn cầu 2 mắt bao gồm rung giật dọc, ngang. Ngoài ra người bệnh thường có các cơn tê bàn tay phải thành cơn ngắn.

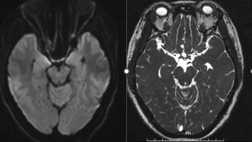
Trước tình trạng trên người bệnh được hướng tới chẩn đoán tổn thương dây thần kinh số IV trung ương, được chỉ định chụp CHT sọ não, CHT cột sống cổ, xét nghiệm dịch não tủy, xét nghiệm bilan viêm, tự miễn, nhiễm trùng trong máu, xét nghiệm tự kháng thể Oligoclonand band; Aqb4. Hội chẩn chuyên khoa mắt, soi tai mũi họng để sàng lọc u vòm…

Hình ảnh kết quả chụp cộng hưởng từ của người bệnh
Hình ảnh kết quả chụp cộng hưởng từ của người bệnh

Dựa trên các kết quả dịch não tủy, máu, CHT sọ não, CHT cổ, kết quả tự kháng thể… các bác sĩ đã hội chẩn và đưa ra chẩn đoán Liệt dây IV trung ương căn nguyên do viêm và đã áp dụng phác đồ: corticoid liều cao, vitamin nhóm B, tăng dẫn truyền thần kinh, dinh dưỡng thần kinh. Sau 2 tuần điều trị vận động nhãn cầu về các phía đã đạt tối đa như mắt trái, khám vận động 2 mắt cân xứng, người bệnh hết các triệu chứng nhìn đôi, tự tin bỏ che mắt khi đi lại, lên xuống cầu thang bình thường, không còn cảnh nhìn món này lại gắp phải món khác. Người bệnh được ra viện dùng thuốc theo đơn ngoại trú trong niềm hạnh phúc của gia đình.

Hình ảnh khám vận động nhãn cầu của người bệnh sau điều trị: hai bên mắt đã cân xứng, có thể nhìn lên trên, xuống dưới rõ ràng, hết triệu chứng nhìn đôi
Hình ảnh khám vận động nhãn cầu của người bệnh sau điều trị: hai bên mắt đã cân xứng, có thể nhìn lên trên, xuống dưới rõ ràng, hết triệu chứng nhìn đôi

Câu chuyện trên không chỉ là hành trình phục hồi thị lực của một người bệnh, mà còn là minh chứng cho vai trò quan trọng của việc chẩn đoán đúng, kịp thời điều trị đúng bằng các kỹ thuật chuyên sâu tại các cơ sở y tế. Đôi mắt – “cửa sổ tâm hồn” – khi được chăm sóc đúng cách, hoàn toàn có thể được “sửa chữa” và “hồi sinh”.

Đây cũng là thông điệp cảnh báo: khi xuất hiện các dấu hiệu bất thường như nhìn đôi, sụp mi, hạn chế vận động mắt, tê yếu tay chân…, người dân cần đến ngay cơ sở y tế chuyên khoa, tránh tự điều trị hoặc trì hoãn, để không bỏ lỡ “thời điểm vàng” trong điều trị.

 

 

Nguồn Bệnh viện Đa khoa tỉnh Phú Thọ

Để lại một bình luận

Email của bạn sẽ không được hiển thị công khai. Các trường bắt buộc được đánh dấu *